Детальні фото моменту зараження клітини здорового організму смертельним коронавірусом показав дослідницький центр "Фонд Освальдо Круза" в Латинській Америці.
Світлини змогли зробити завдяки трансмісійному електронному мікроскопу під час досліджень вірусної реплікації SARS-CoV-2, пише "Апостроф".
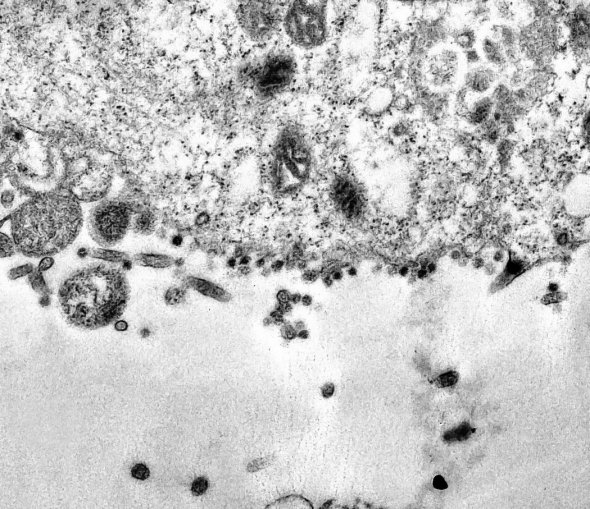
На фото можна розглянути алгоритм зараження.
ЧИТАЙТЕ ТАКОЖ: Висить у повітрі кілька хвилин - на відео показали, як коронавірус поширюється в супермаркеті
Темне коло на світлині в центрі - це вірусна частка, яка "проминає" клітинну мембрану.
 
    На другому знімку темні плями вздовж мембрани - це частинки коронавірусу, які намагаються заразити цитоплазму клітини.
 
    На третій фотографії видно, який вигляд вірусні частинки мають після проникнення в клітину і реплікації всередині неї. Це помітно на білому колі в лівому нижньому кутку.
 
    Не варто сподіватися, що коронавірус зникне або різко зменшить свою загрозу з настанням теплої погоди. Його поведінка відрізняється від інших таких інфекцій, заявив директор Національного інституту алергії та інфекційних хвороб США Ентоні Фаучі.
 
                    
                    
                    
                    
                    
                    
                    
                    
                    
                   









 
             
             
             
             
             
                        









 2
                2             79692
        79692
Коментарі