Ця дитина народилася двічі: спочатку лікарі тимчасово дістали її з живота матері, щоб провести життєво важливу операцію, а через 12 тижнів вона народилася.
Про це пише dailymail
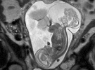
Мшканка Техасу Маргарет Бомер на 16-му тижні вагітності зробила чергове УЗД. Лікарі сказали, що у дитини є пухлина в зоні куприка. Єдиною надією на порятунок була операція. Лікарі мали розкрити живіт і дістати плід вагою 538 г на 20 хв.,а потім повернути назад. Шанси вижити у дівчинки були 50/50.
ЧИТАЙТЕ ТАКОЖ: Топ- 5 невдалих причин народжувати дитину
Після операції Маргарет поклали в лікарню на збереження. Дитина розвивавалася всередині матері ще 12 тижнів - до повних 36 тижнів вагітності.
Лінлі Хоуп Бомер народилася вдруге за допомогою кесаревого розтину. Важила 2400 г.
"На 23-му тижні пухлина блокувала роботу її серця і загрожувала серцевою недостатністю. Вибір був між тим, аби дозволити пухлині заволодіти її організмом, і тим, щоб дати їй шанс вижити. Для нас це було просте рішення: ми хотіли дати їй життя", - каже мати дівчинки.
За словами лікаря Даррелла Каса із Дитячого ембріонального центру Техасу, тератома - найпоширеніша пухлина у новонароджених, з якою вони стикаються.
Причина розвитку пухлини невідома, хоча вона зустрічається у дівчаток в чотири рази частіше, ніж у хлопчиків. Новоутворення трапляється один раз на 30-70 тис дітей.
Нагадаємо, мати 14-дівчат буде народжувати, поки не подарує чоловікові спадкоємця




















Коментарі